Բացել լրահոսը Փակել լրահոսը
A A

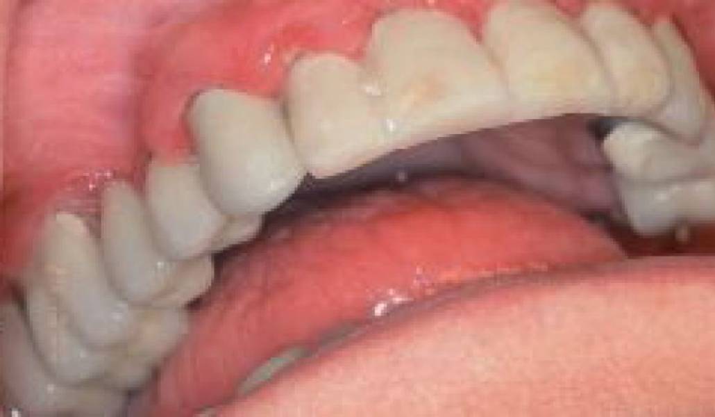
Պարադոնտոզի պատճառ` ջուրը

Մարզեր
465d049c4d1f35a21a2610fa93fc004e

Սիսիանի Կարո Գրիգորյանի անվան ատամնաբուժական պոլիկլինիկայում լնդերի հետ կապված խնդիրներ ունեցող մարդիկ էին հավաքվել՝ լսելով, որ Սիսիան է ժամանել ԱՄՆ Նյու Յորքի համալսարանի պարադոնտոլոգիայի ամբիոնի պրոֆեսոր Գրեգորի Կազանչյանը: Վերջինս Սիսիանում է նաեւ տեղացի ստոմոտոլոգներին մասնագիտական խորհուրդներ տալու նպատակով: Պրոֆեսորը ժամանել է ստոմատոլոգիական պոլիկլինիկայի տնօրենի հրավերով:

Նա իր հետ նաեւ իր իսկ հեղինակած «Շուրջատամնաբանություն» վերնագրով գիրքն է բերել: Գրեգորի Կազանչյանի խոսքով ուսումնական ձեռնարկը կարող է նոր գաղափարներ տալ ինչպես աշխատող ատամնաբույժներին, այնպես էլ բժշկական բուհերի ստոմատոլոգիական ֆակուլտետների ուսանողներին:

«Գիրքը հիմնականում հասցեագրված է հայաստանյան ատամնաբույժներին: Ես 15 տարի է, ինչ գալիս եմ Հայաստան եւ այստեղ պարադոնտոզ հիվանդության դինամիկ աճ եմ նկատում: Գրքում քայլ այլ քայլ նշված է, թե ինչպես պետք է կանխել եւ բուժել հիվանդությունը»,- տեղեկացնում է Գրեգորի Կազանչյանը:

Պարադոնտոզը խիստ տարածված է Սիսիանի տարածաշրջանում, նշում են ատամնաբույժները` կարեւորելով այդ հիվանդության կանխարգելմանն ուղղված ցանկացած միջոցառում: Հիվանդության առաջացման պատճառ կարող է լինել ջրի որակը, երբեմն այն ժառանգաբար փոխանցվող հիվանդություն է:

Գրեգորի Կազանչյանը հավանաբար Սիսիան կայցելի նաեւ 2011 թվականի գարնանը։ «Սիսիանում օդը, ջուրը մաքուր են, հողը՝ հարազատ»,- իր տպավորություններն է հայտում պրոֆեսորը: Հաջորդ այցին նա պատրաստվում է նաեւ վիրահատություններ կատարել:
Սփյուռքահայ բժիշկը սիսիանցի այցելուներին զննելուց զատ չի հոգնում կրկնել` մաքրեք եւ մաքուր պահեք ձեր ատամները: